Автор: Максим Коновалов
Время чтения: ~6 мин.

Зачем нужны надкусочные пломбы при ношении брекетов

Надкусочные пломбы представляют собой временную конструкцию, которую устанавливают с целью коррекции анатомических недостатков зубного ряда. Они фиксируются и снимаются в кабинете стоматолога, но иногда крошатся и отваливаются сами. При разрушении надкусочной пломбы надо обратиться к стоматологу, чтобы оценить необходимость установки новой конструкции.

Что такое надкусочные пломбы

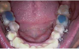
Надкусочные пломбы при брекетах – это временная установка, которая регулирует соприкосновение жевательных зубов между собой и с выравнивающими конструкциями. Визуально они похожи на обычные пломбы, но иногда изготавливаются из цветного материала.

На заметку!

Название «надкусочные пломбы» имеет естественное происхождение, поскольку они нужны именно для надкусывания. Временная конструкция позволяет регулировать процесс коррекции положения зуба и помогает в исправлении анатомических дефектов челюсти.

image

Зачем нужны надкусочные пломбы при брекетах

Временные накладки на зубы необходимы для того, чтобы контролировать и корректировать момент соприкосновения моляров. На передние зубы они не устанавливаются.

Во рту человека все зубы имеют разную высоту и ширину. Во время жевания они соприкасаются друг с другом. Если прикус правильный, а дефектов в строении ряда нет, то у человека не возникает трудностей. Когда имеются анатомические недостатки, зубы соприкасаются неправильно. Это приводит преждевременному истончению эмали, стиранию жевательной зоны и прочим проблемам.

При ношении брекетов эти проблемы усугубляются, поскольку зубы начинают смещаться в сторону правильного анатомического положения. При изменении прикуса пациент может легко сорвать корректирующие накладки. Брекеты сами способны повредить эмаль при резком накусывании.

image Чтобы предотвратить такие проблемы, стоматологи устанавливают пациенту на жевательные зубы защиту. Временные устройства необходимы, чтобы:

  • обеспечить правильное соприкосновение зубов;
  • предотвратить повреждение эмали;
  • избежать случайного отклеивания брекета;
  • восстановить правильную жевательную функцию;
  • сократить период использования брекетов;
  • увеличить высоту прикуса в нужных местах;
  • нормализовать нагрузку на челюстные суставы и мышцы.

Важно!

Временная защита необходима, если во время исправления прикуса есть большая вероятность срыва брекета или травмирования зуба. Их ставят, когда между высотой верхних и нижних зубов есть большое отличие. Необходимость в надкусочных пломбах очевидна при перекрестном прикусе, а также когда нижние резцы перекрывают верхние.

Противопоказания и побочные эффекты

Противопоказанием к установке является разрушение зуба, которое требует предварительного восстановления целостности стенок. Защиту не делают при непереносимости составляющих компонентов. Инфекции ротовой полости, некоторые эндокринные заболевания также могут являться противопоказанием к применению временной конструкции.

На заметку!

Часто пациенты после установки сталкиваются с тем, что не знают, как жевать пищу. Дискомфорт возникает из-за того, что материал не дает зубам смыкаться в прежнем привычном положении. Пациенту необходимо набраться терпения. Адаптационный период продолжается в среднем 1 – 7 дней. После этого пациент привыкает к новым условиям, к которым все равно придется приспособиться после исправления прикуса.

Из чего состоит надкусочная пломба

Временные защитные конструкции делают из разных материалов:

  • Искусственный дентин. Берется композитный порошок и разводится водой в нужной пропорции. Полученная субстанция накладывается на жевательную часть и затвердевает за 2 часа.
  • Дентин-паста. Композитная порошкообразная масса смешивается с антисептическими маслянистыми веществами. После нанесения самостоятельно застывает на поверхности зуба.
  • Цемент. Прочный материал, использование которого показано при бруксизме, плохом качестве зубов.
  • Полимер. Данный материал напоминает мягкую резиновую массу. Она наносится на поверхность моляра или брекета и просвечивается лампой. Надкусочная пломба застывает в течение нескольких минут.

image

Разновидности

В стоматологии для эстетической коррекции прикуса и выравнивания зубного ряда используется несколько видов надкусочных пломб. Чаще устанавливаются одиночные конструкции на жевательные зубы. При необходимости используются пластины, которые позволяют не только регулировать контакт жевательных зубов нижней и верхней челюсти, но также влияют на положение резцов. Они состоят из металлических и пластиковых элементов.

  • Модель Катца. Применяется при сильном выпячивании верхней челюсти (прогнатии). Представляет собой небную пластину, которая изготовлена из пластика. Позволяет мягко исправить дефект верхней челюсти.
  • Система Хургиной. Предполагает использование пластины, которая крепится к резцам, а регулируется натяжением винта. Еженедельно корректируется давление на нижнюю часть зубов, в результате чего резцы возвращаются в нормальное положение.

image

Установка и уход

Носить надкусочные пломбы нужно столько, сколько стоят брекеты. Период эксплуатации определяется индивидуально. Временная конструкция снимается сразу после удаления исправляющей системы.

Надкусочные пломбы не требуют специального ухода. Необходимо соблюдать рекомендации специалистов по поводу гигиенических процедур. Каждые 1 – 3 месяца стоматолог проводит осмотр, коррекцию ортодонтической системы и оценивает состояние надкусочных пломб. Поскольку они имеют непродолжительный срок службы, иногда возникает необходимость в замене. В этом случае разрушенный материал спиливается бормашиной или удаляется другим способом, а на его место накладывается новый.

Цены

Стоимость надкусочной пломбы находится на одном уровне с обычными. Некоторые стоматологические клиники включают эту услугу в общую стоимость установки брекетов. Данный вопрос необходимо уточнять индивидуально. Средняя цена по Москве за одну накладку варьируется от 500 до 3000 руб., в Санкт-Петербурге от 250 рублей.

Отзывы

Вместе с брекетами мне установили на два зуба надкусочные пломбы. В первую неделю было очень неудобно. Невозможно прожевать пищу. Даже изменилась дикция и появилась шепелявость. Через некоторое время привыкла к новому положению, да и зубы стали постепенно выравниваться. Поэтому, если есть необходимость в установке пломбы, то лучше ее поставить.

Анжелика, Москва

Поставили 4 пломбы вместе с брекетами. Одна из них отвалилась через месяц. Врач поменял, но сделал ее не такой крупной. Это было ощутимо во время еды. Пришлось носить пломбы почти полтора года. Поэтому если кому-то их ставят на 6 месяцев, это ерунда. Зато теперь у меня правильный прикус, хорошая дикция и привлекательная улыбка.

Нина, Кострома

Итог

Надкусочные пломбы – это временная конструкция, которая часто используется вместе с ортодонтическими системами для коррекции прикуса. Не всем устанавливают данную защиту. Необходимость использования зависит от исходного состояния зубов.

Частые вопросы

Какую функцию выполняют надкусочные пломбы при ношении брекетов?

Надкусочные пломбы при ношении брекетов выполняют функцию защиты слизистой оболочки рта и мягких тканей от повреждений и раздражений, которые могут быть вызваны контактом с металлическими элементами брекет-системы.

Какие материалы используются для изготовления надкусочных пломб при ношении брекетов?

Для изготовления надкусочных пломб при ношении брекетов чаще всего используются специальные мягкие и эластичные материалы, такие как силикон или полиуретан. Они обеспечивают комфортное прилегание к зубам и не вызывают дискомфорта при ношении.

Как подобрать правильный размер и форму надкусочной пломбы при ношении брекетов?

Подбор правильного размера и формы надкусочной пломбы при ношении брекетов производится стоматологом или ортодонтом. Они учитывают индивидуальные особенности зубной дуги и прикуса пациента, чтобы обеспечить максимальный комфорт и эффективность использования пломбы.

Полезные советы

СОВЕТ №1

Надкусочные пломбы являются неотъемлемой частью ношения брекетов и выполняют несколько важных функций. Одна из них — защита слизистой оболочки рта от повреждений и раздражений, которые могут возникнуть от острых краев брекетов. Поэтому рекомендуется всегда носить надкусочные пломбы, чтобы предотвратить возможные проблемы со здоровьем полости рта.

СОВЕТ №2

Надкусочные пломбы также помогают снизить давление и трение, которые могут возникнуть от брекетов при прикусывании или жевании пищи. Это особенно важно в первые дни после установки брекет-системы, когда зубы и десны могут быть более чувствительными. Поэтому рекомендуется использовать надкусочные пломбы для снижения дискомфорта и облегчения процесса привыкания к брекетам.

Ссылка на основную публикацию
Похожие публикации